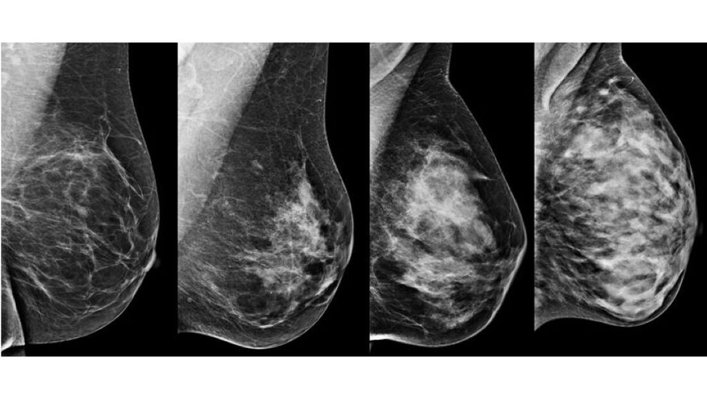
Het UMC Utrecht is een nieuw onderzoek begonnen om borstkanker eerder op te sporen bij vrouwen met dicht borstklierweefsel. Deze vrouwen hebben een veel grotere kans op borstkanker, terwijl juist bij hen tumoren slecht zichtbaar zijn op de mammografie tijdens het bevolkingsonderzoek.
Van de […]
You must log in or # to comment.


